치과보철과·치과보존과 전문의
치과보철과 외래교수
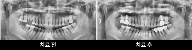
[211118 ~ 221121] 김**님 치료과정
2022-12-19
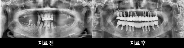
[200602 ~ 210209] 김**님 치료과정
2022-12-09
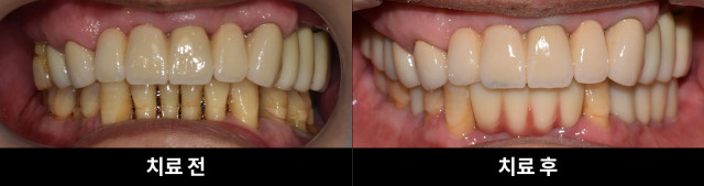
[200616 ~ 211018] 강**님 치료과정