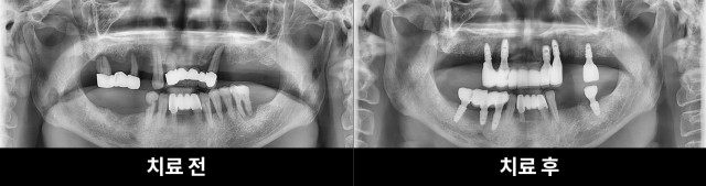
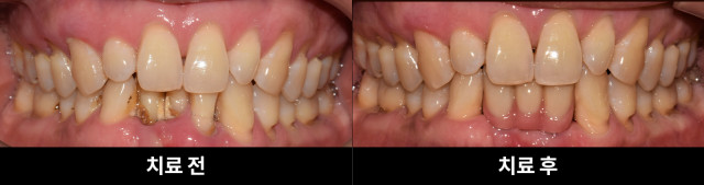
[210104 ~ 220619] 박**님 치료과정
2023-01-09
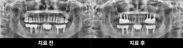
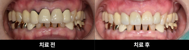
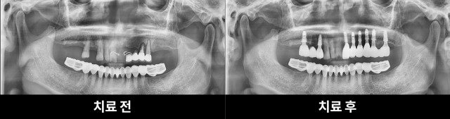
[211228 ~ 220620] 한**님 치료과정
2022-12-19
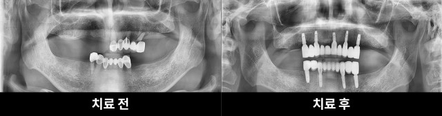
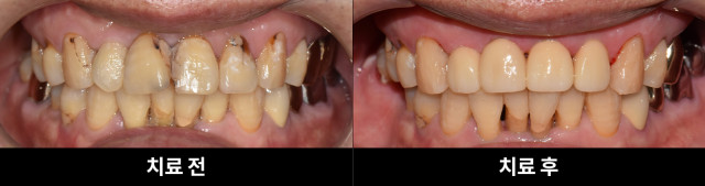
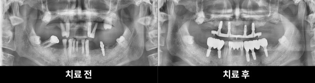
[210722 ~ 221031] 최**님 치료과정
2022-12-19
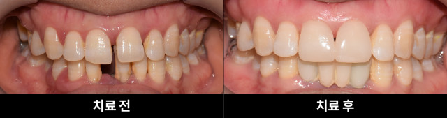
[221004 ~ 221008] 정**님 치료과정
2022-12-19
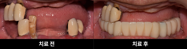
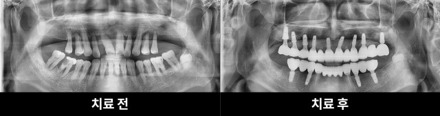
[200603 ~ 211127] 장**님 치료과정
2022-12-19
[211025 ~ 211102] 이**님 치료과정
2022-12-19
[201216 ~ 210621] 이**님 치료과정
2022-12-19
[220618 ~ 220927] 이**님 치료과정
2022-12-19
[220610 ~ 221015] 박**님 치료과정
2022-12-19
[211222 ~ 220504] 박**님 치료과정
2022-12-19
[200901 ~ 201102] 김**님 치료과정
2022-12-19
[210205 ~ 220501] 김**님 치료과정
2022-12-19